Continuing to let you all readers know the daily magic
The case of Right Lung Opacity
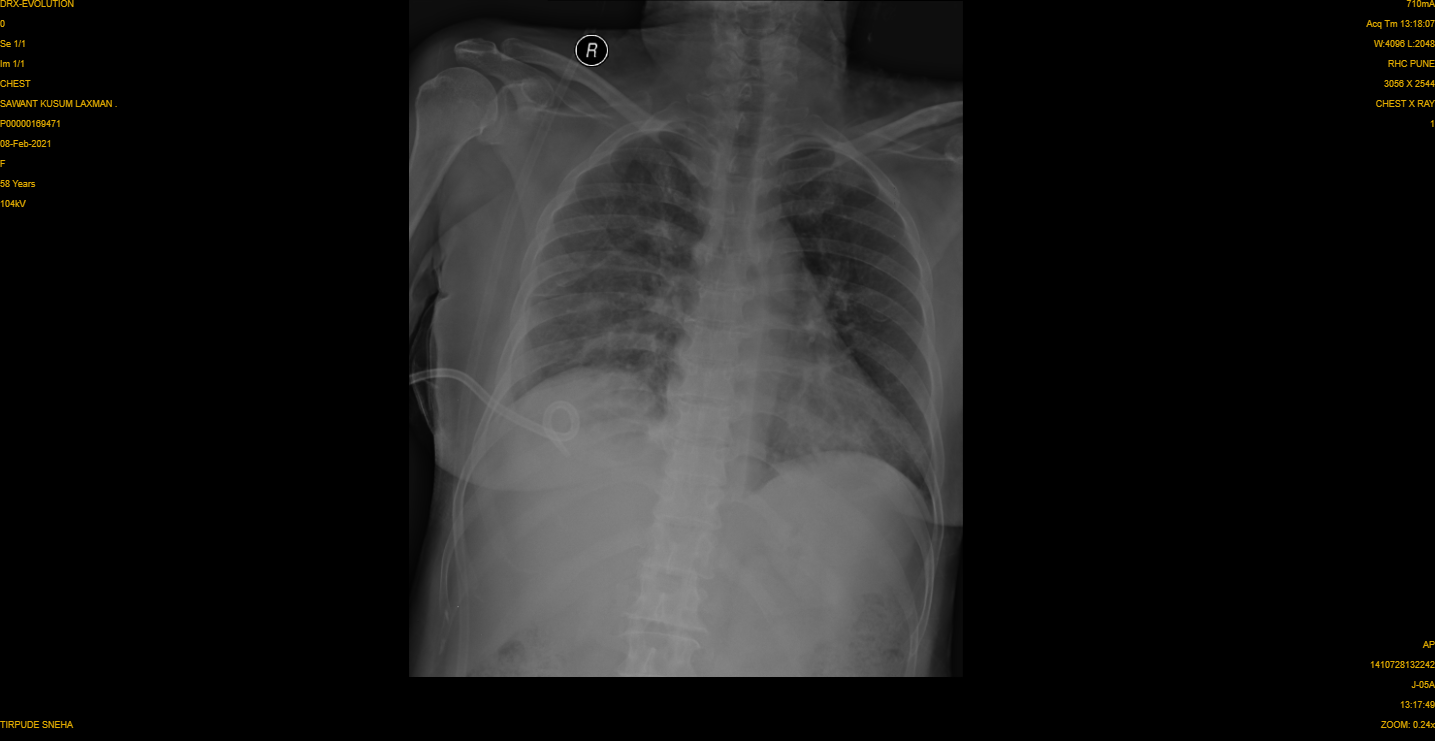
![]() |
| Chest X Ray showing right white lung |
A 60 year old lady had increased breathlessness and cough since few days.and had decreased breathing sounds on hearing with stethoscope. Her Chest X Ray showed almost complete white lung on right side. We suspected a right sided fluid collection in pleura (the lung covering) versus a Lung cancer mass/Lung Abscess (fluid filled cavity), or even a hydatid cyst
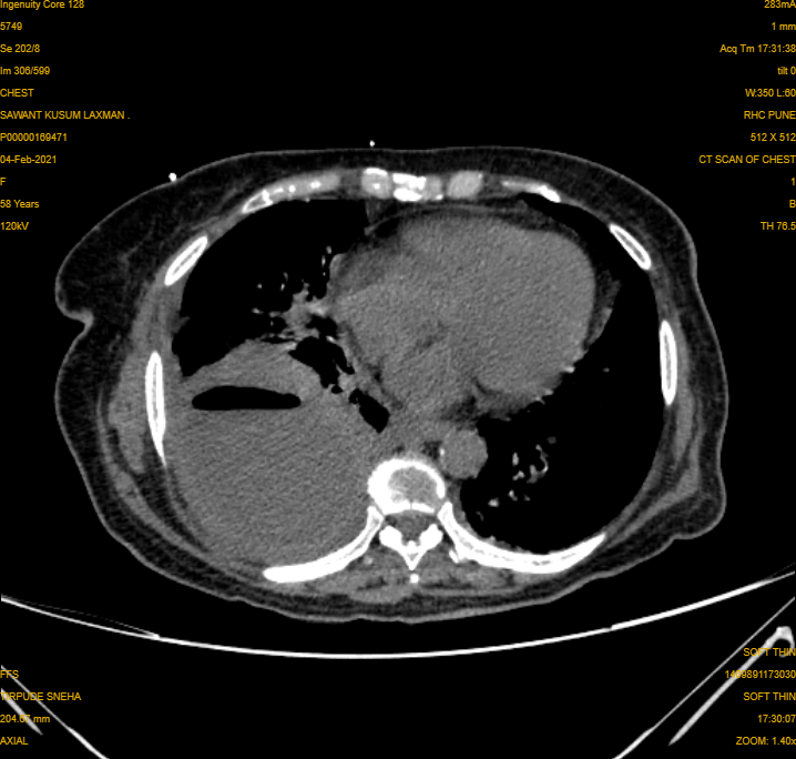
![]() |
| CT scan with contrast helped us delineate that it was the Lung covering filled with Pus |
Pus anywhere in the body almost always needs to be drained. Diagnosis: We call this condition as Empyema Otherwise it leads to Spread of infection locally and in blood, which can be fatal. The reason for her pus collection seems to be uncontrolled undiagnosed diabetes. Yes this is a hazard of Diabetes, a new infection.
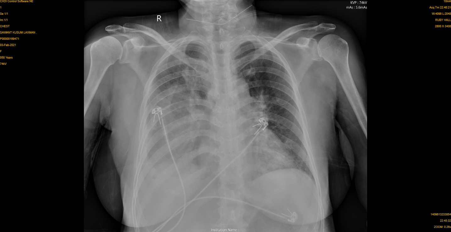
![]() |
| The Chest Xray shows improvement in opacity and the drain is seen in place |
We managed her with strict control of diabetes via an endocrinologist and drained the pus with help of Pigtail catheter or tube.
Around 550 ml of Pus was drained over a period of four days.
AND SHE WAS GOOD TO GO!


